İyi bir fiyat.  çevrimiçi

Ürün ayrıntıları

Created with Pixso. Evde Created with Pixso. Ürünler Created with Pixso.
Diş Biyomimetik Estetiği
Created with Pixso. Zirkonya Diş Kaplama Vaka Çalışması | Küresel Laboratuvar Dış Kaynak Kullanımı - Joydentalab

Zirkonya Diş Kaplama Vaka Çalışması | Küresel Laboratuvar Dış Kaynak Kullanımı - Joydentalab

Marka Adı: Joydenta
Adedi: Esnek
Teslim Zamanı: 4 iş günü
Ödeme Şartları: Banka havalesi
Ayrıntılı Bilgiler
Yeni web sitesi:
www.joydenta-lab.com
Yeni web sitesi:
https://joydenta-lab.com/en/
Ambalaj bilgileri:
kutu ile kabarcık sarma
Yetenek temini:
500 vaka / gün
Vurgulamak:

Doğal görünümlü zirkonyum diş protezleri

,

Diş zirkonya sahte dişler

,

Diş değiştirme için zirkonya protezleri

Ürün Tanımı

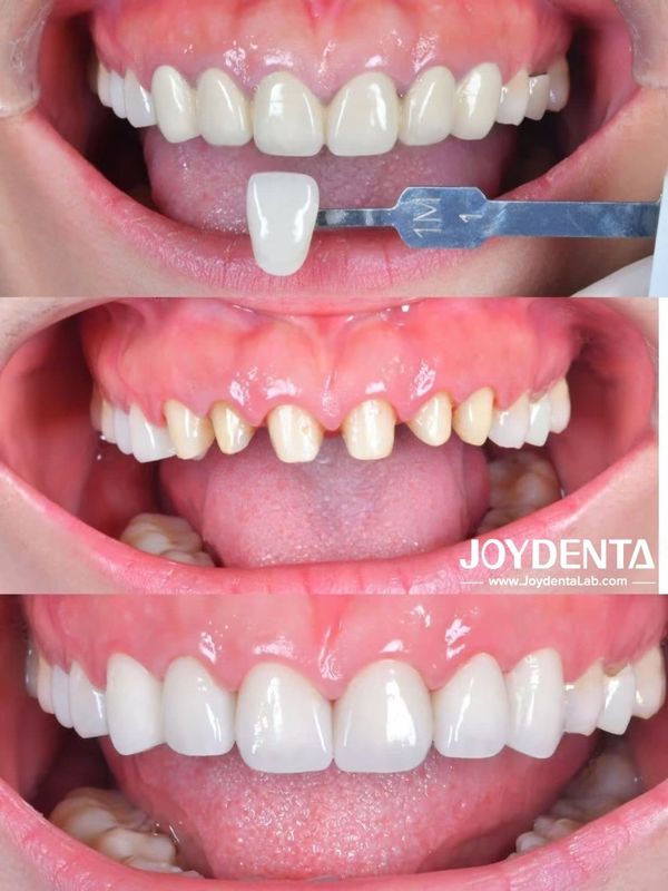
Zirconia Diş Tacı vaka çalışması Joydentalab tarafından Premium Global Outsourcing

Bu klinik vaka, yıllar önce daha önce metal-seramik taçlar almış bir hasta için ikincil bir restorasyon sergiliyor.ve estetik açıdan gelişmiş bir çözümDiş kliniği seçti.Zirkonya diş tacıtarafından üretilen sistemJOY Diş Laboratuarı, ve sonuç hem hassasiyet hem de estetik performans açısından açık bir adımdır.

Resimlerde gösterildiği gibi, eski protez ile yeni zirkonya restorasyonu arasındaki fark önemli.Zirkonya diş tacıteslim eder:

  • Daha iyi renk doğruluğu ve şeffaflık

  • Hastanın doğal dişleri ile uyumlu bir şekilde uyumlu olan ince bir anatomik şekil

  • Üstün uzun süreli dayanıklılık ve istikrar

  • Duyarlı hastalar için uygun biyolojik uyumlu malzemeler

Diş kliniği ve hasta sonuçtan memnun olduklarını ifade ettiler.Zirkonya'nın modern restoratif diş hekimliği için neden en güvenilir malzemelerden biri olduğunu pekiştirmek.


Global Diş Laboratuvarları Neden Zirkonya Restorasyonları için JOY Diş Laboratuvarını Seçti?

Birpremium diş laboratuarıUluslararası dış kaynakta uzmanlaşmış,JOY Diş LaboratuarıDental laboratuvarları destekler.Amerika Birleşik Devletleri, Avustralya ve Birleşik KrallıkYüksek hassasiyetli zirkonya çözeltisi ile.

Avantajlarımız şunları içerir:

  • Gelişmiş CAD/CAM iş akışı ile dijital tasarım tutarlılığı

  • Yüksek dayanıklılıklı çok katmanlı zirkonya malzemeleri

  • Küresel müşteriler için istikrarlı dönüş süresi

  • Tahmin edilebilir sonuçları sağlamak için sıkı kalite kontrolü

  • Uzaktan laboratuvar işbirliği için profesyonel iletişim

İster tek birim kaplar, ister tam kemerli zirkonya köprüleri, isterse de implant destekli restorasyonlar isteyin, dünya çapındaki diş laboratuvarlarına uyarlanmış güvenilir üretim desteği sağlıyoruz.


Güvenilir bir küresel dış kaynak laboratuvarı ile ortak

Eğer kliniğiniz veya laboratuvarınız güvenilir bir ortak arıyorsaZirkonya diş tacıÜretim,JOY Diş Laboratuarı Üretim hassasiyeti, doğal estetik ve mükemmel uluslararası hizmet sunar.

Dünya çapında diş laboratuvarlarının yüksek kaliteli zirkonya işçiliğiyle birlikte çalışmasını ve restorasyon sonuçlarını yükseltmesini memnuniyetle karşılıyoruz.

İyi bir fiyat.  çevrimiçi

Ürün ayrıntıları

Created with Pixso. Evde Created with Pixso. Ürünler Created with Pixso.
Diş Biyomimetik Estetiği
Created with Pixso. Zirkonya Diş Kaplama Vaka Çalışması | Küresel Laboratuvar Dış Kaynak Kullanımı - Joydentalab

Zirkonya Diş Kaplama Vaka Çalışması | Küresel Laboratuvar Dış Kaynak Kullanımı - Joydentalab

Marka Adı: Joydenta
Adedi: Esnek
Paketleme Ayrıntıları: kutu ile kabarcık sarma
Ödeme Şartları: Banka havalesi
Ayrıntılı Bilgiler
Marka adı:
Joydenta
Yeni web sitesi:
www.joydenta-lab.com
Yeni web sitesi:
https://joydenta-lab.com/en/
Min sipariş miktarı:
Esnek
Ambalaj bilgileri:
kutu ile kabarcık sarma
Teslim süresi:
4 iş günü
Ödeme koşulları:
Banka havalesi
Yetenek temini:
500 vaka / gün
Vurgulamak:

Doğal görünümlü zirkonyum diş protezleri

,

Diş zirkonya sahte dişler

,

Diş değiştirme için zirkonya protezleri

Ürün Tanımı

Zirconia Diş Tacı vaka çalışması Joydentalab tarafından Premium Global Outsourcing

Bu klinik vaka, yıllar önce daha önce metal-seramik taçlar almış bir hasta için ikincil bir restorasyon sergiliyor.ve estetik açıdan gelişmiş bir çözümDiş kliniği seçti.Zirkonya diş tacıtarafından üretilen sistemJOY Diş Laboratuarı, ve sonuç hem hassasiyet hem de estetik performans açısından açık bir adımdır.

Resimlerde gösterildiği gibi, eski protez ile yeni zirkonya restorasyonu arasındaki fark önemli.Zirkonya diş tacıteslim eder:

  • Daha iyi renk doğruluğu ve şeffaflık

  • Hastanın doğal dişleri ile uyumlu bir şekilde uyumlu olan ince bir anatomik şekil

  • Üstün uzun süreli dayanıklılık ve istikrar

  • Duyarlı hastalar için uygun biyolojik uyumlu malzemeler

Diş kliniği ve hasta sonuçtan memnun olduklarını ifade ettiler.Zirkonya'nın modern restoratif diş hekimliği için neden en güvenilir malzemelerden biri olduğunu pekiştirmek.


Global Diş Laboratuvarları Neden Zirkonya Restorasyonları için JOY Diş Laboratuvarını Seçti?

Birpremium diş laboratuarıUluslararası dış kaynakta uzmanlaşmış,JOY Diş LaboratuarıDental laboratuvarları destekler.Amerika Birleşik Devletleri, Avustralya ve Birleşik KrallıkYüksek hassasiyetli zirkonya çözeltisi ile.

Avantajlarımız şunları içerir:

  • Gelişmiş CAD/CAM iş akışı ile dijital tasarım tutarlılığı

  • Yüksek dayanıklılıklı çok katmanlı zirkonya malzemeleri

  • Küresel müşteriler için istikrarlı dönüş süresi

  • Tahmin edilebilir sonuçları sağlamak için sıkı kalite kontrolü

  • Uzaktan laboratuvar işbirliği için profesyonel iletişim

İster tek birim kaplar, ister tam kemerli zirkonya köprüleri, isterse de implant destekli restorasyonlar isteyin, dünya çapındaki diş laboratuvarlarına uyarlanmış güvenilir üretim desteği sağlıyoruz.


Güvenilir bir küresel dış kaynak laboratuvarı ile ortak

Eğer kliniğiniz veya laboratuvarınız güvenilir bir ortak arıyorsaZirkonya diş tacıÜretim,JOY Diş Laboratuarı Üretim hassasiyeti, doğal estetik ve mükemmel uluslararası hizmet sunar.

Dünya çapında diş laboratuvarlarının yüksek kaliteli zirkonya işçiliğiyle birlikte çalışmasını ve restorasyon sonuçlarını yükseltmesini memnuniyetle karşılıyoruz.